CABINET D’ORTHODONTIE DU DR GILDAS FOUCHÉ
Orthodontie à Montfort-sur-Meu
CABINET D’ORTHODONTIE DU DR GILDAS FOUCHÉ
Orthodontie à Montfort-sur-Meu

3 Allée de la Bavière
35160 Montfort-sur-Meu

La réussite d'un traitement

L'hygiène en orthodontie

L'hygiène en orthodontie

Traitement orthodontique : les règles du succès

Traitement orthodontique : les règles du succès

Nettoyage des brackets avec brossette interdentaire

Nettoyage des brackets avec brossette interdentaire

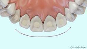
Fil de contention

Fil de contention

Contention de Hawley

Contention de Hawley

Orthodontie et hygiène bucco-dentaire

Orthodontie et hygiène bucco-dentaire

Quel que soit le type d’appareil (amovible ou fixe), les bons gestes d’hygiène bucco-dentaire sont un gage de réussite de votre traitement.

Affichage des articles 1-6 sur 10