CABINET D’ORTHODONTIE DU DR GILDAS FOUCHÉ
Orthodontie à Montfort-sur-Meu
Accueil
Cabinet
Accès
Urgences
Fiches Conseils
Nos vidéos
CONTACT
Accueil
Cabinet
Accès
Urgences
Fiches Conseils
Nos vidéos
CONTACT
CABINET D’ORTHODONTIE DU DR GILDAS FOUCHÉ
Orthodontie à Montfort-sur-Meu
3 Allée de la Bavière
35160
Montfort-sur-Meu
+33 2 99 09 39 39
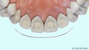
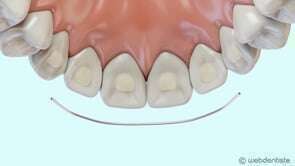
Fil de contention
Vidéos 3D
Partager
Twitter
Partager
Partager
Envoyer
Copier
CABINET D’ORTHODONTIE DU DR GILDAS FOUCHÉ
3 Allée de la Bavière
35160
Montfort-sur-Meu
+33 2 99 09 39 39
Politique de confidentialité et charte cookie
Mentions légales
Conditions Générales Utilisation
Charte déontologique
Ordre national
Annuaires chirurgiens dentistes
Création par
Connexion